假牙材質的選擇
蔡和穎醫師 專欄
「後續這顆牙建議要做假牙套起來保護喔,不然裂掉就只能拔掉了很可惜!」
是否你也曾在根管治療時聽過牙醫師或牙醫助理這樣告訴你呢?
根管治療後的牙齒由於蛀蝕的範圍過大且深,且牙髓組織在感染受損後,牙齒會漸漸脫水使牙齒變脆弱,因此在根管治療後若是沒有以假牙套起來保護,常常會不小心就咬裂掉了。
而假牙材質分這麼多種,性質各異,價位也落差不小,一般人都希望可以選一個最耐用的,到底該怎麼選擇最好?
我們先來了解假牙的目的,不外乎就是重建咀嚼功能、保護牙齒延長牙齒壽命、恢復美觀,而一顆假牙耐用的關鍵除了假牙材質之外便是密合度,若是假牙邊緣密合度越好,則越不容易讓細菌附著造成牙根蛀蝕,牙根蛀蝕會使得假牙開始鬆動,造成我們覺得這顆假牙不耐用的結果!
在選擇上,假牙材質可以分為三大類:全金屬牙、金屬燒瓷牙(半瓷牙)、全瓷牙
在早年瓷牙尚未普及的年代,多以全金屬牙做為假牙修復,堅固耐用,許多長輩口中金屬牙使用數十年仍然相當牢固
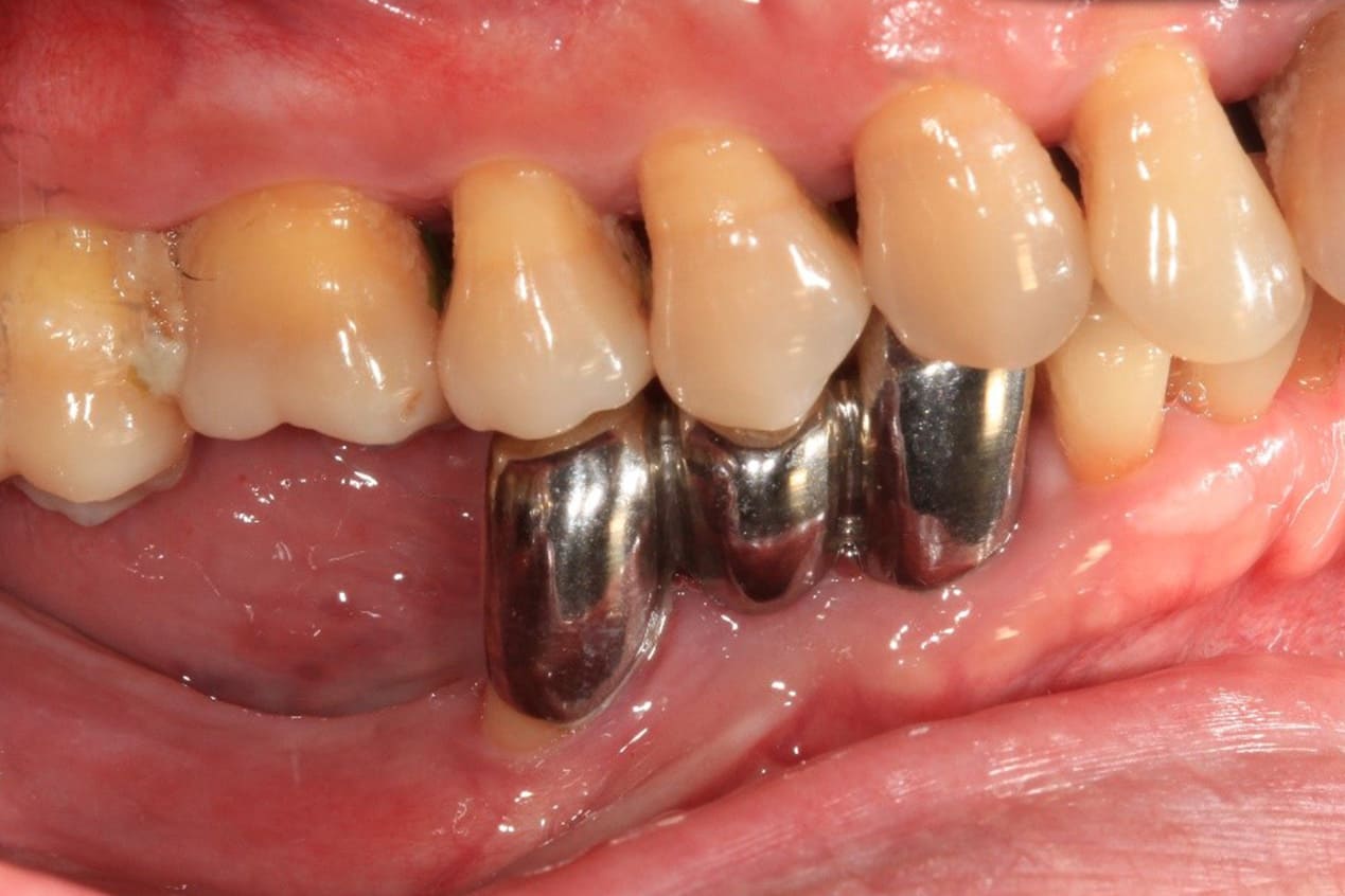
後牙全金屬牙橋
隨著燒瓷技術的進步,在患者越來越注重美觀需求下,臨床上開始出現金屬燒瓷牙的應用,大大的改變了傳統金屬牙的外觀。
所謂金屬燒瓷牙的做法即是改變原本金屬牙的型態設計,在金屬鑄造後於表面燒上瓷粉遮蓋金屬顏色,以兼顧美觀需求,然而假牙邊緣仍會些微透出金屬顏色,若是有合併牙齦萎縮則會使得邊緣金屬色更為明顯
而在長期使用下外層瓷粉有剝落磨損的可能性,若是患者本身咀嚼力道大,有夜間磨牙情形,或是飲食習慣偏向較堅韌的食物,則會增加瓷粉剝落可能,瓷粉剝落後的假牙除了美觀受到影響外,密合度也會下降,此時便需要視嚴重情形考慮拆除舊假牙重新製作

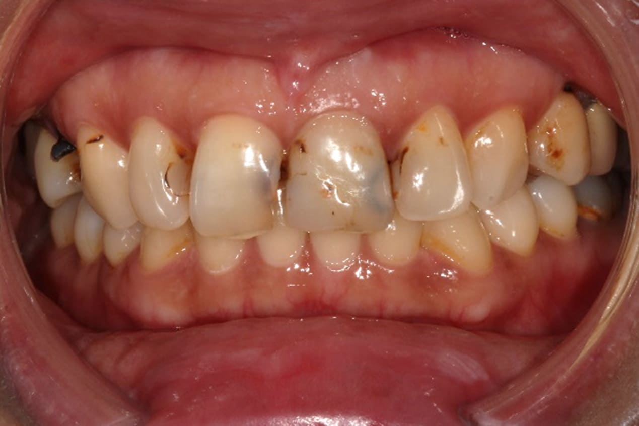
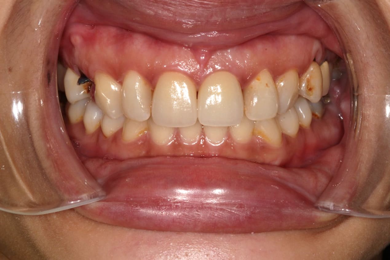
門牙金屬燒瓷牙,邊緣透出金屬色

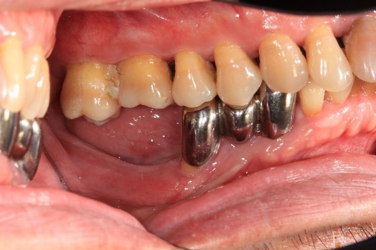
後牙金屬燒瓷牙,瓷粉崩裂
此外只要是金屬,在口腔中經年累月接受食物冷熱刺激及酸鹼度變化刺激下,仍會釋出金屬離子,且有部分患者體質對金屬易過敏,若是希望假牙沒有金屬成分則可選擇全瓷牙。
全瓷牙目前的主流是以氧化鋯瓷塊製作,經電腦掃描後將瓷塊雕刻成假牙冠的型態,由於瓷塊一體成形,因此兼顧了堅固耐用及美觀需求,缺點則是費用上較傳統金屬牙及金屬燒瓷牙高昂。



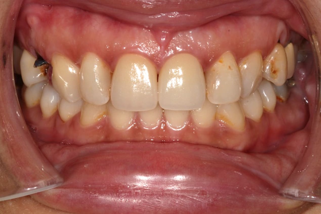
患者門牙嚴重齲齒,經根管治療並修型後,以全瓷牙冠復型
在現代人越來越注重健康及美觀之下,多數人假牙漸漸選擇以全瓷牙作為優先,建議臨床上仍可進一步和您的牙醫師討論
假牙材質比較表格
|
全金屬牙 |
金屬燒瓷牙 |
全瓷牙 |
|
![]() |
![]() |
![]() |
|
|
美觀 |
差 |
普通 |
佳 |
|
堅固性 |
佳 |
普通 |
佳 |
|
密合度 |
普通 |
普通 |
佳 |
|
是否釋放金屬離子 |
是 |
是 |
否 |
|
金屬過敏可能性 |
可能 |
可能 |
否 |
|
費用 |
較低 |
居中 |
較高 |